争分夺秒:苏高医科室协作精准诊断肠系膜上动脉栓塞
日前,苏州高新区人民医院放射科在夜间急诊中,通过快速精准的影像诊断,协助临床成功识别一例危急肠系膜上动脉栓塞患者,为抢救赢得时间。
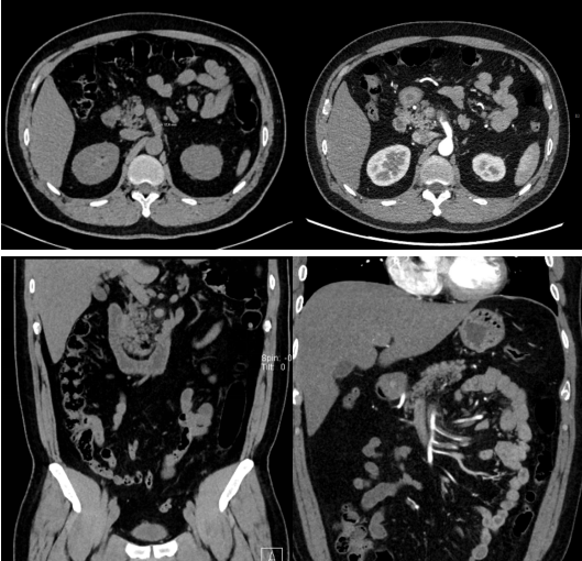
当晚19时,苏州高新区人民医院急诊科接诊一名44岁男性患者。该患者因“突发腹部剧烈绞痛3小时”就诊,既往有高血压、高血脂病史,未规律治疗。急诊科紧急申请腹部CT平扫,放射科迅速启动夜间应急流程,在完成快速扫描后立即进行阅片分析。在观察血管区域时,发现肠系膜上动脉管径明显增宽,最宽处约12mm,管腔内密度不均,管壁欠光整,周围脂肪间隙模糊。结合患者有高血压、高血脂高危因素及急性剧烈腹痛的临床表现,高度怀疑肠系膜上动脉栓塞。放射科立即与急诊科沟通,建议紧急行腹部CT血管造影(CTA)以明确诊断。
临床迅速启动CTA造影检查。CTA明确肠系膜上动脉主干及其主要分支内见广泛充盈缺损,远端分支显影不良,与平扫所见的动脉增宽征象完全吻合,从而明确诊断为肠系膜上动脉栓塞,并同时排除了其他急腹症。
本例诊疗过程充分体现了影像学在急危重症中的关键作用。体现了CT增强或血管造影的价值,也为患者争取了宝贵的救治时间。
放射科王艳玲主任介绍,肠系膜上动脉栓塞起病隐匿、进展迅速、病死率高,常见于高血压、高血脂及心房颤动等高危人群。本例的成功确诊,得益于影像与临床的高效协作与快速响应。也提醒公众,一旦出现突发性剧烈腹痛,切勿拖延,须立即就医,以免贻误抢救时机。
供稿:放射科 金飞芹
初审:王艳玲
二审:杜云兰
三审:金添



