反复发热伴胸闷,警惕鹦鹉热合并肺栓塞
受凉感冒后出现发热,本是常有的事儿,季阿姨的这次发热,却不同寻常。
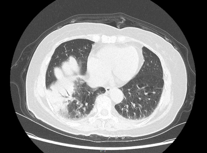
72岁的季阿姨平时身体一向健康,没有基础病,近期,突然出现发热,体温波动在39摄氏度左右,伴有些许咳嗽,本以为流感了,自行用了些感冒药,但无好转还出现了胸闷、呼吸不畅的症状,连夜来苏州高新区人民医院急诊就诊,肺CT检查显示:右肺大片实变影及渗出,伴有血炎症指标显著升高,后收住呼吸与危重症医学科治疗。第二天关键主任医师查房,询问病史了解到季阿姨家里有鹦鹉,结合患者血氧下降、凝血功能明显异常,关主任考虑存在鹦鹉热合并肺栓塞,在保证安全情况下完善了肺动脉CTA及支气管镜检查,行肺泡灌洗送基因检测,明确诊断为鹦鹉热合并肺栓塞、呼吸衰竭,后经过针对性治疗,季阿姨病情已明显好转,久违的笑容又回来了。
关键主任介绍:鹦鹉热是由鹦鹉热衣原体感染引起的人畜共患病,主要通过接触鹦鹉、鸽子、鸡、鸭等鸟类的粪便、羽毛、分泌物传播,初期易被误认为普通感冒,表现为高热、咳嗽、胸闷、呼吸困难,若延误治疗会快速引发重症肺炎、呼吸衰竭。而肺栓塞是深静脉血栓脱落堵塞肺动脉的急症,以突发胸痛、咯血、极度呼吸困难、晕厥为典型症状,致死率极高,常作为感染、卧床、炎症应激后的严重并发症出现。当鹦鹉热引发重症肺部感染、全身炎症反应,会导致血液高凝、静脉血栓形成,血栓脱落即可诱发肺栓塞,二者叠加形成“感染+栓塞”双重致命危象,病情进展迅猛,甚至合并呼吸衰竭,救治难度大幅上升。
关主任提醒,现在很多家庭养鹦鹉,科学防控鹦鹉热,要做到以下几点:1. 严防鹦鹉热源头:不随意接触野生鸟类,清理鸟舍、家禽粪便时佩戴口罩、手套,事后彻底洗手;保持饲养环境通风消毒,病鸟及时隔离诊治。2. 降低血栓风险:感染期间避免长期卧床,适量活动下肢,多喝水稀释血液,久坐久卧者定时起身活动。3. 早诊早治是关键:禽类接触后出现呼吸道症状,第一时间告知医生接触史,排查鹦鹉热;感染期间出现胸痛、呼吸困难,立即检查排除肺栓塞。4. 规范救治不松懈:确诊鹦鹉热后遵医嘱足疗程抗感染,重症患者密切监测凝血功能,提前预防血栓形成,阻断合并肺栓塞的发生链条。
最后,关键主任强调,鹦鹉热可防可治,肺栓塞凶险可预警,二者合并虽危重,早识别、早干预就能抢回生机!出现以下症状,需立即就医,切勿拖延:
1. 持续高热不退,咳嗽剧烈,胸闷气短加重;
2. 突发单侧下肢肿胀、疼痛,活动后加重;
3. 突发剧烈胸痛、咯血、心慌、头晕、濒死感;
4. 呼吸困难快速恶化,无法平卧、口唇发紫等。
呼吸与危重症医学科咨询电话:0512-69585127
呼吸与危重症医学科:吴红梅
初审:关键
二审:杜云兰
三审:金添




